빠른 상담

궁금하신 사항을 아래 문의 내용에 입력해주시면
보다 빠르게 전화로 상담을 도와드립니다

이름
연락처
문의내용

예약 신청이 완료되었습니다.
내원 시 본인 확인 의무화 시행에 따라 신분증 지참 부탁드립니다.
보이지 않아도 강력한

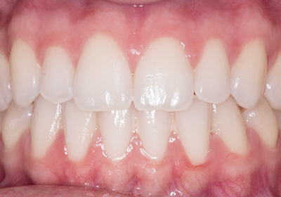
앞니부분교정

ONEUL BARO PLANT DENTAL CLINIC

평균 3~6개월 앞니부분교정

전체 치아를 대상으로 하지 않고, 교정이 필요한 부분이나 원하는 부분만 골라서
단기간 내에 교정하는 방법입니다.
필요한 부분만 교정하기 때문에 전체 교정보다 저렴할 뿐만 아니라
불필요한 통증이나 교정기간을 줄일 수 있습니다.


이런 앞니가 고민이라면?

심미적으로 중요한 앞니만 부분적으로 교정하는 빠른앞니 교정으로 해결가능합니다.
겉으로 보이지 않는 교정장치로 티 안나게 교정하세요.

  • 1
    앞니 또는 일부 치아의
    방향이 틀어지거나 돌출된 경우
  • 2
    어금니 교합이 정상이지만
    일부 치아 사이에 공간이 있는 경우
  • 3
    어금니 교합이 정상이지만
    앞니 배열이 삐뚤어진 경우
  • 4
    보철, 임플란트 시술을 위한
    부분적 치아 이동이 필요한 경우
  • 5
    면접, 웨딩, 촬영 등
    단기간 심미적 개선이 필요한 경우
  • 6
    교정 치료를 받은 적이 있으나
    일부 치아가 다시 틀어진 경우

앞니 부분 교정 방법

  • 2D 교정
    • 2D 브라켓을 이용한 설측 교정
    • 앞니 안쪽에 장치를 부착해 겉으로 보이지 않음
    • 크기가 작아 이물감 감소
  • MTA교정
    • 작고 낮은 원형 튜브 모양의 장치 이용
    • 심미성이 우수한 앞니 교정 특화 장치
    • 비교적 적은 비용 & 단축된 치료 기간
  • 투명교정
    • 맞춤 제작한 투명 장치 사용
    • 장치를 착용했다가 뺄 수 있어 편리함
    • 투명한 색상으로 심미성 우수

앞니 부분 교정

왜 오늘바로플란트가 좋을까?

  • 1

    3~6개월의
    짧은 치료 기간
  • 2

    꼭 필요한 치아만
    교정해 비용 절금
  • 3

    심미성 우수한
    교정장치 사용
  • 4

    교정장치
    당일 부착 가능
  • 5

    치료 기간 중
    내원 횟수 최소화
  • TEL.042-721-8528

    대전광역시 서구 대덕대로 234번길 18
    유웰빌딩 2,3층
    월 / 수 / 금
    오전 09:30 ~ 오후 06:30
    화 / 목
    오전 09:30 ~ 오후 08:00 야간진료
    점 심 시 간
    오후 12:30 ~ 오후 02:00
    토 요 일
    오전 09:30 ~ 오후 02:00 점심시간 X

    * 일요일 공휴일 휴진

빠른 상담신청

[보기]