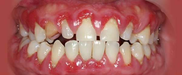
치은염
치은염 잇몸표면 연조직에만 염증이 발생
- 잇몸이 평소보다 빨갛거나 진하다
- 잇몸이 붓거나 두꺼워진다
- 잇몸에서 출혈이 발생한다
궁금하신 사항을 아래 문의 내용에 입력해주시면
보다 빠르게 전화로 상담을 도와드립니다
ONEUL BARO PLANT DENTAL CLINIC
잇몸 안쪽 보이지 않는 공간의
치주질환까지 깨끗하게!
본래의 잇몸라인을
되찾을 수 있는 방법!
상실된 잇몸과 치조골을
원래 상태대로!
치주질환은 양치 시 잇몸에서 피가 나는 정도의 치은염 상태에서
더 악화되면 잇몸이 붓고 근질근질하고 이가 시린 상태가 되며
치주염 말기가 되면 이가 흔들리고 딱딱한 것을 씹지 못하게 됩니다.
오늘바로플란트치과에서는 질환 진행정도와 개인차를 진단해
그에 맞춘
치주질환 치료를 진행하며, 치은박리소파술은 치주 질환이 중등도 이상
단계이며
치주조직이 광범위하게 퍼져 있을 때 주로 시행합니다.
- 잇몸이 평소보다 빨갛거나 진하다
- 잇몸이 붓거나 두꺼워진다
- 잇몸에서 출혈이 발생한다
- 해당부위에서 냄새가 납니다
- 치아와 잇몸 사이에서 고름이 나온다
- 음식물을 씹을 때 통증이 있고 불편하다
- 치아가 흔들리거나 심한 경우 빠진다
잇몸이식이란 잇몸이 많이 내려간 경우 원래 잇몸라인까지 재생시키는걸 목표로
다른 부위에서 잇몸을 제거하여 잇몸이 소실된 부분에 이식하는 방법니다.
잇몸조직이 풍부한 입천장 부위에서 잇몸조직을 채취하여
잇몸이 소실된 부위에 이식합니다.
이식된 잇몸이 이식부위에 잘 생착되어 재생이 되어야 하기 때문에
매우 섬세한 기술과 풍부한 노하우가 필요합니다.
치주질환 치료 후 치아 뿌리의 면과 인접한 다른 조직의 구성성분을 차단막으로 분리하여
치주인대를 형성하는 세포만 재분포 시켜 재생을 도모하는 술식입니다.
즉, 상실된 잇몸과 치조골 등을 원해 상태로 회복시켜주는 치료법입니다.
치아가 흔들리거나 뽑히지 않고 단단히 박혀 있기 위해서는 잇몸뼈가 튼튼해야 하기 때문에 잇몸뼈 재생에 초점을 맞춰 시술합니다.
| 임플란트 | 디오 임플란트 | 59만원 |
|---|---|---|
| 메가젠 임플란트 | 69만원 | |
| 오스템 임플란트 | 100만원 | |
| 오스템 soi | 120만원 | |
| 단순 뼈이식 | 30만원 | |
| 복잡 뼈이식 | 50만원 | |
| 상악동 | 100-120만원 | |
| 보철 추가(폰틱/재제작) | 40만원 | |
| CT비용 | CT 촬영및 임플란트 진단 | 10만원 |
| 보철치료 | post | 10만원 |
| A type 골드 크라운 | 50만원 | |
| PFM 크라운 | 40만원 | |
| 올세라믹(전치부) | 60만원 | |
| 지르코니아(구치부) | 50만원 | |
| 틀니 치료 | 부분 틀니 | 150만원 |
| 전체 틀니 | 150만원 | |
| 틀니 수리 | 10만원 | |
| 임시 틀니 | 30만원 | |
| Wire Temporary | 10만원 | |
| 오버덴처(임플란트 틀니) | 180만원 | |
| 보존 치료 | 레진(단순) | 8만원 |
| 레진(앞니) | 15만원 | |
| C/A 레진 | 8만원 | |
| 테세라(레진)인레이 | 25만원 | |
| 골드 인레이 | 30만원 | |
| 골드 온레이 | 40만원 | |
| 라미네이트 | 60만원 | |
| 레진 코어 | 8만원 | |
| 포스트 | 10만원 | |
| 캐스팅 포스트 | 15만원 | |
| 소아 치료 | 소아 레진 | 5만원 |
| SS Crown | 10만원 | |
| Band(Crown) & loop | 15만원 | |
| 치아 홈메우기 | 4만원 | |
| 불소 도포 | 4만원 | |
| 기타 치료 | 이갈이 장치 | 40만원 |
| 보험 항목 | 근관치료 | 보험본인부담 |
| 발치 | 보험본인부담 | |
| GI 충전 | 보험본인부담 | |
| 아말감 충전 | 보험본인부담 | |
| 치아 홈메우기 | 보험본인부담 | |
| 치주치료 | 보험본인부담 | |
| 금속상 완전틀니(보험) | 30% 본인부담 |